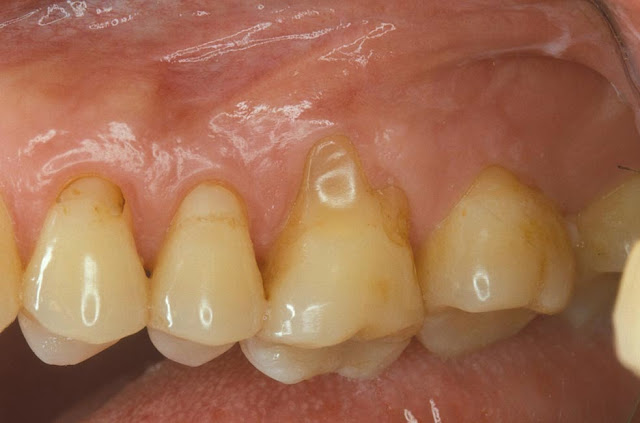
病患因為過度使用牙線造成牙肉萎縮,治療10年前
Friday, July 31, 2009
Wednesday, July 29, 2009
Monday, July 27, 2009
Sunday, July 26, 2009
Saturday, July 25, 2009
Friday, July 24, 2009
Monday, July 20, 2009
Sunday, July 19, 2009
新型交通違規攝影機
新型攝影機 ! 是由警察坐在監控室遙控拍攝的喔 !
預計今年下半年全國各縣市完成安裝工程。
此攝影機由警員遠端遙控上下左右遠近拍攝,
這組攝影機非一般 cctv,此攝影機可拍至 300 公尺遠 ...
看起來不起眼! (像個路燈)功能可會嚇死人 ..
常出現於紅綠燈桿 和 路燈桿上
Saturday, July 18, 2009
Thursday, July 16, 2009
Wednesday, July 15, 2009
Tuesday, July 14, 2009
Saturday, July 11, 2009
Friday, July 10, 2009
信不信由你-Tooth implant allows blind man to see
A MAN who was blind for 12 years has seen his wife for the first time after specialists implanted part of one of his teeth into his eye socket.
Martin Jones lost his sight when a tub of molten alumnium exploded in his face.
Martin Jones lost his sight when a tub of molten alumnium exploded in his face.
Thursday, July 9, 2009
Wednesday, July 8, 2009
Tuesday, July 7, 2009
Monday, July 6, 2009
Saturday, July 4, 2009
Thursday, July 2, 2009
Wednesday, July 1, 2009
Subscribe to:
Comments (Atom)























