P E R I O D E N T = P E R I O + I M P L A N T
牙周、植牙、美學、全口重建ーーー工作,生活與藝術的結合 陳柏堅醫師的部落格
Thursday, March 17, 2016
陳柏堅醫師發表前下門牙矯正治療後牙齦萎縮之處理-2
Tweet
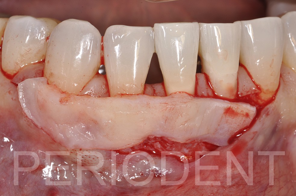
縫合移植體
一星期拆線時
一個月時
六星期時
三個月時
半年後
9個月時
No comments:
Post a Comment
Newer Post
Older Post
Home
Subscribe to:
Post Comments (Atom)
▲回到上方▲
Scroll to Top
No comments:
Post a Comment